「抜髄」と呼ばれる、歯の神経の治療がスタートになります。
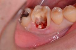
見えているのは歯の神経の入り口の一つです。
ぱっと見は何ともなくても、虫歯というのは中で広がっている事が非常に多いです。
表面のエナメル質の一部に穴が開くと、そこから中の象牙質に入り込みます。
象牙質はエナメル質ほどは強くないので、かなり早いスピードで進行してしまう事があります。
歯は細胞が乏しい組織のため、一度虫歯になり実質欠損をしてしまうと、皮膚の様に再生はしません。
やはり、定期健診というのが必要で、虫歯があれば早めに処置をして進行を防ぐ事が重要でしょう。
